ABC-LEKARNA.cz | Poradna a zkušenosti s léky a léčbou nemocí
 Poradna a zkušenosti s léky a léčbou nemocí 

Jazyk - Poradna a zkušenosti

Poradna a zkušenosti s léky a léčbou nemocí, Jazyk

Jazyk

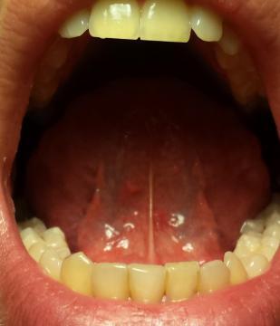
Pro větší náhled klikněte na obrázek
Jazyk strapon - 31.5.2014 0:10:45
Chcem sa vas opytat ci vidite nieco na jazyku co by tam nemalo byt. Ďakujem :)


Odpověď zdravotníka na dotaz: Jazyk

Takto sa to na 100% posúdiť rozhodne nedá, ale čo je vidieť z fotky, tak je všetko normálne. Máte výslovne nejaká zdravotné problémy?





Máte zdravotní problémy? Sdělte nám své příznaky - Pomůže vám naše poradna.


Diskuze Diskuze: otázky a odpovědi, zkušenosti a poradenství k Jazyk - Diskuze je prázdná – vložte svou zkušenost nebo vložte svůj dotaz jako první

Vaše zkušenost/Komentář/Dotaz týkající se Jazyk

Položky označené * jsou povinné.
Vaše jméno *:
E-mail :
Předmět *:
Text příspěvku *:
Opište kód *:
(kontrola spamu)
"lekarna"
Chcete-li obdržet odpověď / reakce na Váš příspěvek, nezapomeňte vyplnit položku E-mail. Vaše emailová adresa nebude zobrazena ani jinak použita.

 

NEPOSKYTUJEME ZDRAVOTNÍ PORADENSTVÍ. Naše online poradna je určena pro všechny pacienty, užívající některý z léčivých přípravků, pouze pro obecné informační účely. Poradna v žádném případě neslouží jako náhrada odborné lékařské péče. Poradna pomáhá se správným užíváním léčivých přípravků, odhalit vzájemnou nesnášenlivost léčiv, při snížení výskytu nežádoucích, vedlejších účinků léčiv a jako osvěta a zdroj informací. Pokud si myslíte, že potřebujete lékařkou pomoc, okamžitě zavolejte svého lékaře nebo vytočte číslo 155.




Aktuální diskuze - LÉKY
Nejnovější příspěvky v diskuzi:

Zaldiar 20 neblahe ucinky - ZALDIAR 20 Potahované tablety
Vložil: Markéta
2026-01-08 05:23:22

Měla jsem Zaldiar 20 po něm jsem mela akorát těstoviny s míchaných vajíčky šunkou parmezanem, po tem jsem vlezla do vany okamžitě se mi udělala vyrážka od kolen dolů která neskutečně pálila musela jsem z vany vylest bolesti sem brečela cítila jsem jak mi nohy...
Houbove quarteto - TEREZIA COMPANY Houbové quarteto 100% houbový přípravek 60 kapslí
Vložil: Katka Mašková
2025-11-24 17:28:12

Dobrý den, Ráda bych se zeptala, zda je vhodné brát houbove quarteto s antidepresivy. Děkuji velice ...
Afluditen - AFLUDITEN 25 MG/ML 5X1ML/25MG Injekční roztok
Vložil: Andrea Krulová
2025-11-12 12:05:01

Dobrý den můžu vědět jak přesně vám zničil život ? Protože mojí mamce taky,děkuji moc za odpověď ...
Dávkování - SYNULOX 250 A.U.V. TBL 500
Vložil: Markéta
2025-11-02 16:45:21

Dobrý den, můj pes dostal antibiotika Synulox 250mg. První dávku dostal v 12h další v 24h. Je možné dávkování převést na 6:30h a 18:30h bezpečné jednorázově? Jestezbere večer Medrol. Děkuji za odpověď....
Spokar - SPOKAR 3421/t tyrkys plus zubní kartáček - tvrdý
Vložil: Karel
2025-07-24 17:17:43

Firma SPOJENÉ KARTÁČOVNY PELHŘIMOV přestala kartáčky na zuby vyrábět bez náhrady......

Aktuální diskuze - NEMOCI
Nejnovější příspěvky v diskuzi:

akné na penisu - Pupínky u ochlupení
Vložil: Luboš
2025-11-29 18:24:24

Akné a folikulitidou trpím dlouhodobě, lékaři odmítají řešit příčinu, to nemá smysl. Ale na penisu se mi dříve pupínky objevily vždy pouze po holení. Nyní jsem se dlouho neoholil a z ničeho nic se mi objevil na údu malý bílý pupínek s lehce červeným oko...
Dostal som od Dr. Sacreho najlepší liek na zväčšenie penisu a problémy s neplodnosťou. - Prodloužení penisu
Vložil: Jones
2025-08-15 14:55:53

Dostal som od Dr. Sacreho najlepší liek na zväčšenie penisu a problémy s neplodnosťou. Pán Jones, som veľmi ohromený výsledkami bylinného lieku Dr. Sacreho! Môj penis je viditeľne väčší a hrubší a moja sebadôvera v spálni prudko vzrástla. Zlepšenie môj...
Červené boláčky - Vyrážka / bradavičky na žaludu
Vložil: Oto12
2025-05-28 01:00:42

Dobrý den,uz delší dobu se mi dělají červené pupínky boláčky nijak nebolí a necítím je. Po pohlavním styku mam žalud načervenaly a pupínky jsou výraznější zenu po pohlavním styku nic ne náplní nesvědi žádné problémy nema dekuji za odpověď ...
- Cysta na mozku miminka?
Vložil: Monika Kelnarova
2025-05-02 17:07:13

Dobry den,chci se zeptat na ultrazvuku mi zjistili ze miminko ma na mozku cystu choroidalniho plexu v levo i vpravo,se chci zeptat co to znamena a zda za jak dlouho to zmizi a zda to neni vazny děkuji Kelnarova ...
Výrůstky - Hirsuties papillaris/HPV
Vložil: Martin
2025-04-21 16:18:15

...


ABC-LEKARNA.cz - Online poradna, zkušenosti a recenze pacientů s užíváním léčivých přípravků, jaký lék nejlépe zabírá na Vaše nemoci a vedlejší nežádoucí účinky. Informační web o lécích na předpis, volně prodejných lécích a doplňcích. Pokud si myslíte, že potřebujete lékařkou pomoc, okamžitě kontaktujte svého lékaře nebo vytočte číslo 155. Informace zde zveřejněné jsou pouze obecné a nejesou náhradou odborné lékařské pomoci, diagnózy nebo léčby!
sitemap.txt